
Abnormal neuroscience: Scanning psychopaths for Empathy
What happens in a brain that doesn’t respond to others’ pain? Neuroscientists at the University of Groningen explore empathy by scanning the minds of extreme psychopathy, including Patient 13, whose maximum scores on the PCL-R make him a rare window into human emotion — or its absence.

Meeting Patient 13: A Study in Contrasts
Patient 13, rarely allowed outside the high-security Dr S. van Mesdag Clinic in Groningen, presents a striking paradox. In the lab, wearing blue surgical pyjamas and a steady smile, he seems small and almost vulnerable, yet his record reminds everyone of the danger he poses. Guards and researchers alike must accommodate both his safety and the integrity of the study.
During his fMRI sessions, minor interruptions — trips to the toilet, adjustments of the scanner — consume significant time. Yet researchers, particularly psychologist Harma Meffert, demonstrate patience and precision, reestablishing his focus to capture reliable data on brain function. Every gesture, every pause, becomes part of a meticulously controlled scientific environment.
Patient 13: smiling, cooperative, and psychopathy at its extreme — a rare glimpse into the neuroscience of empathy. #Psychopathy #Neurodope share this

The Psychopathy Checklist-Revised: Measuring the Unmeasurable
Psychopathy is defined by a constellation of behavioral and personality traits, with lack of empathy as a hallmark feature. Patient 13 has scored the maximum possible on the Psychopathy Checklist-Revised (PCL-R), a tool that remains the gold standard for identifying the clinical syndrome.
The checklist evaluates manipulation, callousness, superficial charm, and emotional detachment, among other traits. By quantifying these behaviors, researchers hope to correlate observable psychological patterns with neural activity, identifying how brains of extreme psychopaths differ from those of ordinary adults.
Maximum PCL-R scores offer a rare opportunity to study the neural roots of empathy — or the lack of it. #Neurobiology #Empathy share this

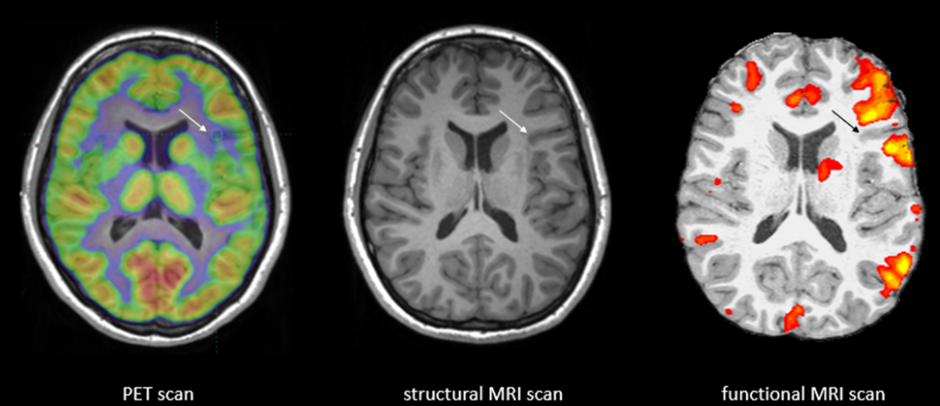
Empathy Under the Scanner
Christian Keysers, director of Groningen’s neuroimaging center, focuses not on psychopathy itself but on the mechanisms of empathy: how observing another’s pain triggers corresponding neural activation in our own brains. He asks whether the same systems that allow us to feel with others are silent in psychopathy.
Using fMRI, researchers observe which brain regions “light up” in response to emotional cues. In typical individuals, witnessing distress activates networks associated with both emotion and motor mimicry. In Patient 13, these signals may be diminished or absent, offering concrete evidence of the neural basis for emotional detachment.
fMRI scans may reveal why some brains fail to mirror the suffering of others. #EmpathyResearch #Psychopathy share this

Toward Understanding the Unfeeling Mind
The study of extreme psychopathy illuminates both the exceptional and the ordinary. By contrasting Patient 13’s neural responses with those of neurotypical subjects, researchers aim to understand empathy as a spectrum rather than a binary trait.
Ultimately, these insights may inform interventions, risk assessment, and our broader understanding of human social behavior. Patient 13 is not just a case study — he is a lens on the fundamental question: how and why do humans feel what others feel?
Exploring the unfeeling mind sheds light on the complex spectrum of human empathy. #Neuroscience #Psychopathy share this
Sources:
Abnormal neuroscience: Scanning psychopaths
University of Groningen – Functional MRI studies of empathy and psychopathy
Harma Meffert & Christian Keysers – Research on neural correlates of emotional processing
Hare, R. D. – Psychopathy Checklist-Revised (PCL-R) methodology and applications

A quick overview of the topics covered in this article.
Latest articles
The Cognitive Rent Economy: How Every App Is Leasing Your Attention Back to You
You don’t lose your attention anymore. You lease it. Modern platforms don’t steal focus. They monetize it, slice it into intervals, and return it [read more...]
AI Is an Opinionated Mirror: What Artificial Intelligence Thinks Consciousness Is
Artificial intelligence thinks it sees us clearly. It does not. It is staring into a funhouse mirror we built out of math, bias, hunger [read more...]
The Age of the Aeronauts: Early Ballon flights
Humans have always wanted to rise above the ground and watch the world shrink beneath them without paying a boarding fee or following traffic [read more...]
Free Energy from the Ether – from Egypt to Tesla
Humans have always chased power from the invisible. From the temples of Egypt to Tesla’s lab in Colorado, inventors sought energy not trapped in [read more...]
The Philosophy of Fake Reality: When Simulation Theory Meets Neuroscience
What if reality isn’t breaking down—but revealing its compression algorithm? Neuroscience doesn’t prove we live in a simulation, but does it show the brain [read more...]
Blast from the Past: Exploring War Tubas – The Sound Locators of Yesteryears
When it comes to innovation in warfare, we often think of advanced technologies like radar, drones, and stealth bombers. However, there was a time [read more...]
Pneumatic Tube Trains – a Lost Antiquitech
Before electrified rails and billion-dollar transit fantasies, cities flirted with a quieter idea: sealed tunnels, air pressure, and human cargo. Pneumatic tube trains weren’t [read more...]
Tartaria and the Soft Reset: The Case for a Quiet Historical Overwrite
Civilizations don’t always collapse with explosions and monuments toppling. Sometimes they dissolve through paperwork, renamed concepts, and smoother stories. Tartaria isn’t a lost empire [read more...]
“A problem cannot be solved by the same consciousness that created it.” – Albert Einstein
“A problem cannot be solved by the same consciousness that created it.” - Albert Einstein
Tartaria: What the Maps Remember
History likes to pretend it has perfect recall, but old maps keep whispering otherwise. Somewhere between the ink stains and the borderlines, a ghost [read more...]













